| Sarcomatoid carcinoma | |
|---|---|
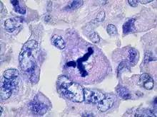
![]() | |
| Metaplastic (sarcomatoid) carcinoma of the breast. | |
| Specialty | Oncology |
Sarcomatoid carcinoma, sometimes referred to as pleomorphic carcinoma,[1] is a relatively uncommon form of cancer whose malignant cells have histological, cytological, or molecular properties of both epithelial tumors ("carcinoma") and mesenchymal tumors ("sarcoma"). It is believed that sarcomatoid carcinomas develop from more common forms of epithelial tumors.[2]
Types
Sarcomatoid carcinoma is a type of rare lung tumour under the category of poorly differentiated Non-small-cell lung carcinoma (NSCLC). Based on its histological characteristics, it can be classified into giant cell carcinoma (almost completely consists of giant cells), spindle cell carcinoma (almost completely consists of spindle cells), pleomorphic carcinoma (at least 10% spindle/giant cells or consists of giant and spindle cells only), carcinosarcoma (mix of NSCLC and true sarcoma), and biphasic pulmonary blastoma (consists of embryonal type epithelial element and primitive mesenchymal stroma).[3]
Locations
Sarcomatoid carcinomas have been identified in the small intestine in rare cases. They may have epithelioid and mesenchymal properties or be composed only of mesenchymal-type spindle cells, and are negative for CD117 and DOG1.[4]
Some cases of sacromatoid carcinoma of the larynx are resistant to radiotherapy.[2]
Epidemiology
This type of tumour have less than 1% incidence of all primary lung cancers. Primary lung tumours originated from the tissues of the lung, not metastasized from other locations in the body.[3]
References
- ↑ Moran C, Saul S (2010). "Non Small Cell Carcinomas of the Lung". Tumors and Tumor-like Conditions of the Lung and Pleura. Philadelphia: Saunders/Elsevier. pp. 51–110. ISBN 978-1-4557-0550-4.
- 1 2 Dewhirst M, Stauffer PR, Das S, Craciunescu OI, Vujaskovic Z, Gunderson L, Tepper J (2016). Clinical Radiation Oncology. Elsevier. pp. 649–472.
- 1 2 Weissferdt A (September 2018). "Pulmonary Sarcomatoid Carcinomas: A Review". Advances in Anatomic Pathology. 25 (5): 304–313. doi:10.1097/PAP.0000000000000202. PMID 29912718.
- ↑ Odze RD, Goldblum JR (2015). Odze and Goldblum Surgical Pathology of the GI Tract, Liver, Biliary Tract and Pancreas. Saunders. pp. 722–736.
